Ruch i zmysły
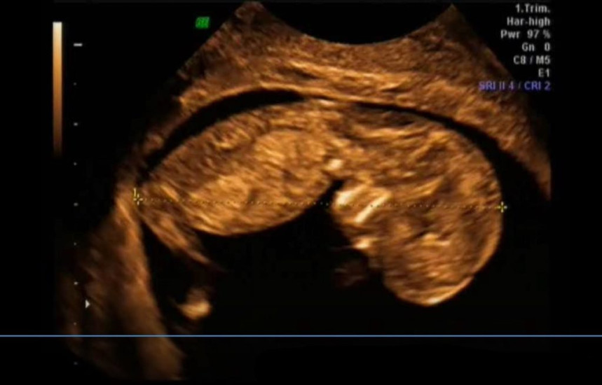
W 12. tygodniu życia Twoje dziecko ćwiczy wytrwale jak sportowiec. Ale potrafi też płakać!
Maleństwo mierzy 7,5 cm długości i waży 14 g. Jest wielkości średniego jabłka.
Co się dzieje w 12. tygodniu ciąży?
Całość artykułu znajduje się pod linkiem https://pro-life.pl/ruch-i-zmysly/
